Заявка на подписку:

a.suhodolova@panor.ru

По всем вопросам звоните:

+7 495 274-22-22

УДК: 616.8–007 DOI:10.33920/med-01-2202-01

Особенности применения васкуляризированных лоскутов для пластики дефектов основания черепа после устранения менингоэнцефалоцеле у детей

Шелеско Елизавета Владимировна заведующая отделением оториноларингологии ФГАУ НМИЦН имени Н. Н. Бурденко, г. Москва, Е-mail: Eshelesko@nsi.ru, 8 926 923 2991, https://orcid.org/0000-0002-8249-9153
Сатанин Леонид Александрович ФГАУ «Национальный медицинский исследовательский центр нейрохирургии имени акад. Н.Н. Бурденко» Минздрава России, г. Москва, Е-mail: Lsatanin@nsi.ru, 8 499 972 8547, https://orcid.org/0000-0003-2051-1855
Черникова Надежда Алексеевна врач отделения оториноларингологии, ФГАУ НМИЦН имени Н. Н. Бурденко, г. Москва, Е-mail: Chernikhope@gmail.com, 8 965 420 8719, https://orcid.org/0000-0002-4895-233X
Струнина Юлия Владимировна статист, научный сотрудник, ФГАУ НМИЦН имени Н. Н. Бурденко, г. Москва, Е-mail: ustrunina@nsi.ru, 8 916 468 3207, https://orcid.org/0000-0001-5010-6661
Сахаров Александр Владимирович врач детского нейрохирургического отделения, ФГАУ НМИЦН имени Н. Н. Бурденко, г. Москва, Е-mail: asaharov@nsi.ru, +7 499 972-85-47
Никонова Светлана Дмитриевна ординатор отделения оториноларингологии, ФГАУ НМИЦН имени Н. Н. Бурденко, г. Москва, Е-mail: SNikonova@nsi.ru, +7 499 972-85-47, https://orcid.org/0000-0003-4244-9669
Кутин Максим Александрович канд. мед. наук, врач отделения хирургии основания черепа, ФГАУ НМИЦН имени Н. Н. Бурденко, г. Москва, Е-mail: Mkutin@nsi.ru, 8 499 972-85-47, https://orcid.org/0000-0002-6520-4296

Базальные менингоэнцефалоцеле — редкая патология, возникающая за счет пролабирования измененных оболочек и тканей мозга через костный дефект основания черепа. Лечение пациентов с данной патологией заключается в удалении менингоэнцефалоцеле с последующей пластикой дефекта основания черепа. Одним из способов устранения дефектов основания черепа является использование васкуляризированных лоскутов. Васкуляризированные лоскуты являются методом выбора пластического материала у взрослых, однако в педиатрической практике нет достаточных данных об эффективности и безопасности их применения. Цель: оценка эффективности и безопасности применения васкуляризированных лоскутов при устранении менингоэнцефалоцеле, а также уточнение показаний к их применению в педиатрической практике. Материал и методы. Проведен ретроспективный анализ серии пациентов с базальными менингоэнцефалоцеле в возрасте от 0 до 18 лет, оперированных в НМИЦН имени Н.Н. Бурденко с 2008 по 2020 г. Проведено сравнение двух групп, разделенных по видам использованных методов пластики дефектов основания черепа. Результаты. Выявлена статистически значимая разница в группах по локализации дефектов (p = 0,048), жалобам в послеоперационном периоде на боли в ране на левом бедре (p < 0,001). Не установлено статистически значимой разницы в группах по размеру дефекта (p = 1), частоте использования люмбального дренажа (p = 0,141), длительности операции (p = 0,2), кровопотери (p = 0,248). Выводы. Васкуляризированные лоскуты являются эффективными для пластики дефекта основания черепа у детей при устранении менингоэнцефалоцеле. Доказана безопасность использования лоскутов интраоперационно и в раннем послеоперационном периоде. Остается неизученным вопрос об отдаленных результатах и влиянии формирования васкуляризированного лоскута на структуры лицевого скелета. При планировании устранения менингоэнцефалоцеле у детей и выборе пластического материала необходимо учитывать локализацию фистулы.

Литература:

1. Капитанов Д. Н., Шелеско Е. В., Потапов А. А., Кравчук А. Д., Зинкевич Д. Н., Нерсесян М. В., Сатанин Л. А., Сахаров А. В., Данилов Г. В. Эндоскопическая эндоназальная диагностика и лечение менингоэнцефалоцеле основания черепа. Журнал «Вопросы нейрохирургии» имени Н. Н. Бурденко. 2017; 81 (2): 38–47. https://doi.org/10.17116/neiro201781238–47.

2. Mohindra S, Mohindra S, Mahendru S, Patil NR. Endoscopic management of congenital nasal meningoencephaloceles: a short series of 15 paediatric cases.Childs Nerv Syst. 2020; 36 (12): 3059–3062. DOI: 10.1007/s00381-020-04649-9.

3. Lee TJ, Chang PH, Huang CC, Chuang CC: Endoscopic treatment of traumatic basal encephaloceles: a report of 8 cases. J Neurosurg. 2008; 108: 729–735, DOI: 10.3171/JNS/2008/108/4/0729.

4. Komotar RJ, Starke RM, Raper DM, Anand VK, Schwartz TH. Endoscopic endonasal versus open repair of anterior skull base CSF leak, meningocele, and encephalocele: a systematic review of outcomes. J Neurol Surg A Cent Eur Neurosurg. 2013 Jul; 74 (4): 239–50. DOI: 10.1055/s-0032–1325636.

5. Başak H, Kahiloğulları G, Güler TM, Sayacı EY, Etuş V, Meço C. Endonasal endoscopic management of the craniopharyngeal canal meningoencephalocele using a nasoseptal flap in a 6-month-old infant. Childs Nerv Syst. 2020 Nov; 36 (11): 2883–2886. DOI: 10.1007/s00381-020-04602-w.

6. G. Hadad, L. Bassagasteguy, R. L. Carrau, J. C. Mataza, A. Kassam, C. H. Snyderman, et al., A novel reconstructive technique after endoscopic expanded endonasal approaches: vascular pedicle nasoseptal flap, Laryngoscope 116 (2006) 1882–1886.

7. Zanation AM, Snyderman CH, Carrau RL, Kassam AB, Gardner PA, Prevedello DM. Minimally invasive endoscopic pericranial flap: a new method for endonasal skull base reconstruction. Laryngoscope. 2009; 119 (1): 13–18.

8. Гольбин Д. А., Миндлин С. Н. Тактика пластического закрытия базальных дефектов после удаления срединных новообразований передних отделов основания черепа. Журнал «Вопросы нейрохирургии» имени Н. Н. Бурденко. 2017; 81 (3): 77–87. https: //doi.org/10.17116/neiro201781377–87.

9. Никонова С. Д., Кутин М. А., Шелеско Е. В., Калинин П. Л., Черникова Н. А., Фомочкина Л. А. Особенности восстановления и осложнения, возникающие в полости носа при применении васкуляризированного назосептального лоскута для пластики дефекта основания черепа после трансназального удаления новообразований хиазмально-селлярной области. Вестник неврологии, психиатрии и нейрохирургии. Т. 12, № 1, с. 36–44.

10. El-Bosraty HM, Shehata W. Endoscopic reconstruction of skull base defects using a nasal septal flap in paediatric patients. Egypt J Otolaryngol. 2013; 29: 159–165.

11. C. M. Giannoni, W. E. Whitehead Use of Endoscopic Vascularized Nasoseptal Flap in Children Otolaryngology — Head and Neck Surgery 148 (2) 344–346. DOI: 10.1177/0194599812471808.

12. Shah RN, Surowitz JB, Patel MR, Huang BY, Snyderman CH, Carrau RL, Kassam AB, Germanwala AV, Zanation AM Endoscopic pedicled nasoseptal flap reconstruction for pediatric skull base defects. Laryngoscope. 2009; 119 (6): 1067–1075. https: //doi. org/10.1002/lary.20216.

13. Lee JA, Byun YJ, Nguyen SA, Schlosser RJ, Gudis DA Endonasal endoscopic surgery for pediatric anterior cranial fossa encephaloceles: A systematic review. Int J Pediatr Otorhinolaryngol. 2020 May; 132: 109919. DOI: 10.1016/j.ijporl.2020.109919.

14. M. Stavrakas, P. D. Karkos, S. Triaridis, Constantinidis J3, Endoscopic management of paediatric meningoencephaloceles: a case series, Eur. Arch. Oto-Rhino-Laryngol. 2018; 275 (11): 2727–2731.

15. Makary CA, Zalzal HG, Ramadan J, Ramadan HH. Endoscopic endonasal CSF rhinorrhea repair in children: Systematic review with meta-analysis. Int J Pediatr Otorhinolaryngol. 2020 Jul; 134: 110044. DOI: 10.1016/j.ijporl.2020.110044.

16. A. A. Ibrahim, E. A. Magdy, M. Eid, Endoscopic endonasal multilayer repair of traumatic ethmoidal roof cerebrospinal fluid rhinorrhea in children, Int. J. Pediatr.

17. Abiri A, Abiri P, Goshtasbi K, Lehrich BM, Sahyouni R, Hsu FPK, Cadena G, Kuan E. C. Endoscopic Anterior Skull Base Reconstruction: A Meta-Analysis and Systematic Review of Graft Type. World Neurosurg. 2020 Jul; 139: 460–470. DOI: 10.1016/j.wneu.2020.04.089.

18. M. Koutourousiou, P. A Gardner, J. C. Fernandez-Miranda, E. C. Tyler-Kabara, E. W. Wang, C. H. Snyderman Endoscopic endonasal surgery for craniopharyngiomas: surgical outcome in 64 patients J Neurosurg 2013; 119 (5): 1194–207. DOI: 10.3171/2013.6. JNS122259.

19. A. Laibangyang, Sh. D. Rodgers, Sh. L. Baron, T. Schaeffer, M. Shikowitz, M. A. Mittler, S. J. Schneider Pedicled nasoseptal flap reconstruction for craniopharyngiomas in pediatric patients Child's Nervous System; 36 (3); 491–496; https: //doi.org/10.1007/s00381-019-04238-5.

20. Lavigne P, Faden DL, Wang EW, Snyderman CH (2018) Complications of nasoseptal fap reconstruction: a systematic review. J Neurol Surg B Skull Base 79 (suppl 4): S291 — S299.

21. DeMonte F, Moore BA, Chang DW. Skull base reconstruction in the pediatric patient. Skull Base 2007; 17: 39–52.

22. Nation J, Schupper AJ, Deconde A, Levy M. CSF leak after endoscopic skull base surgery in children: A single institution experience. Int J Pediatr Otorhinolaryngol. 2019 Apr; 119: 22–26. DOI: 10.1016/j. ijporl.2019.01.010.

23. A. K. Keshri, S. R. Shah, S. D. Patadia, R. N. Sahu, S. Behari, Transnasal endoscopic repair of pediatric meningoencephalocele, J. Pediatr. Neurosci. 2016; 11 (1): 42–45.

24. Гайдуков, С. С. Науменко А. Н Критерии выбора способа пластики дефектов основания черепа у больных назальной ликвореей. Российская оториноларингология. 2014; 1: 33–36.

25. Nogueira JF Jr, Stamm AC, Vellutini E, Santos FP. Endoscopic management of congenital meningoencephalocele with nasal flaps. Int J Pediatr Otorhinolaryngol 2009; 73 (1): 133–137 https: //doi. org/10.1016/j.ijporl.2008.09.013.

26. N. R. London, G. G. Rangel, A. Onwuka, R. L. Carrau, D. M. Prevedello, J. A. Leonard, P. C. Walz Reconstruction of pediatric skull base defects: A retrospective analysis emphasizing the very young. International Journal of Pediatric Otorhinolaryngology. 2020; 133: 109962 https: //doi.org/10.1055/s-0040–1702369.

27. Adam M. Zanation, Ricardo L. Carrau, Carl H. Snyderman, Anand V. Germanwala, Paul A. Gardner, Daniel M. Prevedello, Amin B. Kassam. Nasoseptal flap reconstruction of high flow intraoperative cerebral spinal fluid leaks during endoscopic skull base surgery. Am J Rhinol Allergy. 2009; 23: 518–521; https: // doi.org/10.2500/ajra.2009.23.3378.

28. N. Shah, Ch. Deopujari, V. Bommakanti The reconstruction of skull base defects in infants using pedicled nasoseptal flap — a review of four cases Child's Nervous System 35: (11); 57–2162; https: //doi. org/10.1007/s00381-019-04132-0.

29. Chivukula S, Koutourousiou M, Snyderman CH, Fernandez-Miranda JC, Gardner PA, Tyler-Kabara EC. Endoscopic endonasal skull base surgery in the pediatric population. J Neurosurg Pediatr 2013; 11 (3): 227–241; https: //doi.org/10.3171/2012.10.peds12160.

1. Kapitanov D. N., Shelesko E. V., Potapov A. A., Kravchuk A. D., Zinkevich D. N., Nersesian M. V., Satanin L. A., Sakharov A. V., Danilov G. V. Endoskopicheskaia endonazalnaia diagnostika i lechenie meningoentsefalotsele osnovaniia cherepa [Endoscopic endonasal diagnosis and treatment of skull base meningoencephalocele]. Zhurnal «Voprosy neirokhirurgii» imeni N. N. Burdenko [Journal «Issues of Neurosurgery» named after N. N. Burdenko]. 2017;81 (2):38–47. https://doi.org/10.17116/neiro201781238–47 (In Russ.)

2. Mohindra S, Mohindra S, Mahendru S, Patil NR Endoscopic management of congenital nasal meningoencephaloceles: a short series of 15 paediatric cases.Childs Nerv Syst. 2020;36 (12):3059–3062. doi: 10.1007/s00381-020-04649-9.

3. Lee TJ, Chang PH, Huang CC, Chuang CC: Endoscopic treatment of traumatic basal encephaloceles: a report of 8 cases. J Neurosurg 108:729–735, 2008 DOI: 10.3171/JNS/2008/108/4/0729

4. Komotar RJ, Starke RM, Raper DM, Anand VK, Schwartz TH. Endoscopic endonasal versus open repair of anterior skull base CSF leak, meningocele, and encephalocele: a systematic review of outcomes. J Neurol Surg A Cent Eur Neurosurg. 2013 Jul;74 (4):239–50. doi: 10.1055/s-0032–1325636

5. Başak H, Kahiloğulları G, Güler TM, Sayacı EY, Etuş V, Meço C. Endonasal endoscopic management of the craniopharyngeal canal meningoencephalocele using a nasoseptal flap in a 6-month-old infant. Childs Nerv Syst. 2020 Nov;36 (11):2883–2886. doi: 10.1007/s00381-020-04602-w.

6. G. Hadad, L. Bassagasteguy, R. L. Carrau, J. C. Mataza, A. Kassam, C. H. Snyderman, et al., A novel reconstructive technique after endoscopic expanded endonasal approaches: vascular pedicle nasoseptal flap, Laryngoscope 116 (2006) 1882–1886.

7. Zanation AM, Snyderman CH, Carrau RL, Kassam AB, Gardner PA, Prevedello DM. Minimally invasive endoscopic pericranial flap: a new method for endonasal skull base reconstruction. Laryngoscope. 2009;119 (1):13–18.

8. Golbin D. A., Mindlin S. N. Taktika plasticheskogo zakrytiia bazalnykh defektov posle udaleniia sredinnykh novoobrazovanii perednikh otdelov osnovaniia cherepa [Tactics of plastic closure of basal defects after removal of median neoplasms of the anterior sections of the skull base]. Zhurnal «Voprosy neirokhirurgii» imeni N. N. Burdenko [Journal «Issues of Neurosurgery» named after N. N. Burdenko]. 2017;81 (3):77–87. https://doi.org/10.17116/neiro201781377–87. (In Russ.)

9. Nikonova S. D., Kutin M. A., Shelesko E. V., Kalinin P. L., Chernikova N. A., Fomochkina L. A. Osobennosti vosstanovleniia i oslozhneniia, voznikaiushchie v polosti nosa pri primenenii vaskuliarizirovannogo nazoseptalnogo loskuta dlia plastiki defekta osnovaniia cherepa posle transnazalnogo udaleniia novoobrazovanii khiazmalno-selliarnoi oblasti [Features of recovery and complications arising in the nasal cavity during the use of a vascularized naso-septal flap for plasty of a skull base defect after transnasal removal of neoplasms of the chiasmal-sellar region]. Vestnik nevrologii, psikhiatrii i neirokhirurgii [Bulletin of Neurology, Psychiatry and Neurosurgery], vol. 12, № 1, p. 36–44. (In Russ.)

10. El-Bosraty HM, Shehata W (2013) Endoscopic reconstruction of skull base defects using a nasal septal flap in paediatric patients. Egypt J Otolaryngol 29:159–165

11. C. M. Giannoni, W. E. Whitehead Use of Endoscopic Vascularized Nasoseptal Flap in Children Otolaryngology – Head and Neck Surgery 148 (2) 344–346 DOI: 10.1177/0194599812471808

12. Shah RN, Surowitz JB, Patel MR, Huang BY, Snyderman CH, Carrau RL, Kassam AB, Germanwala AV, Zanation AM Endoscopic pedicled nasoseptal flap reconstruction for pediatric skull base defects. Laryngoscope. 2009; 119 (6):1067–1075. https://doi. org/10.1002/lary.20216

13. Lee JA, Byun YJ, Nguyen SA, Schlosser RJ, Gudis DA Endonasal endoscopic surgery for pediatric anterior cranial fossa encephaloceles: A systematic review. Int J Pediatr Otorhinolaryngol. 2020 May;132:109919. doi: 10.1016/j.ijporl.2020.109919

14. M. Stavrakas, P. D. Karkos, S. Triaridis, Constantinidis J3, Endoscopic management of paediatric meningoencephaloceles: a case series, Eur. Arch. Oto-Rhino-Laryngol. 275 (11) (2018) 2727–2731.

15. Makary CA, Zalzal HG, Ramadan J, Ramadan HH. Endoscopic endonasal CSF rhinorrhea repair in children: Systematic review with meta-analysis. Int J Pediatr Otorhinolaryngol. 2020 Jul;134:110044. doi: 10.1016/j. ijporl.2020.110044.

16. A. A. Ibrahim, E. A. Magdy, M. Eid, Endoscopic endonasal multilayer repair of traumatic ethmoidal roof cerebrospinal fluid rhinorrhea in children, Int.J. Pediatr.

17. Abiri A, Abiri P, Goshtasbi K, Lehrich BM, Sahyouni R, Hsu FPK, Cadena G, Kuan E. C. Endoscopic Anterior Skull Base Reconstruction: A Meta-Analysis and Systematic Review of Graft Type. World Neurosurg. 2020 Jul;139:460–470. doi: 10.1016/j.wneu.2020.04.089.

18. M. Koutourousiou, P. A Gardner, J. C. Fernandez-Miranda, E. C. Tyler-Kabara, E. W. Wang, C. H. Snyderman Endoscopic endonasal surgery for craniopharyngiomas: surgical outcome in 64 patients J Neurosurg 2013; 119 (5):1194–207. doi: 10.3171/2013.6. JNS122259

19. A. Laibangyang, Sh. D. Rodgers, Sh. L. Baron, T. Schaeffer, M. Shikowitz, M. A. Mittler, S.J. Schneider Pedicled nasoseptal flap reconstruction for craniopharyngiomas in pediatric patients Child's Nervous System; 36 (3); 491–496 https://doi.org/10.1007/s00381-019-04238-5

20. Lavigne P, Faden DL, Wang EW, Snyderman CH (2018) Complications of nasoseptal fap reconstruction: a systematic review. J Neurol Surg B Skull Base 79 (suppl 4):S291 — S299

21. DeMonte F, Moore BA, Chang DW. Skull base reconstruction in the pediatric patient. Skull Base 2007;17:39–52.

22. Nation J, Schupper AJ, Deconde A, Levy M. CSF leak after endoscopic skull base surgery in children: A single institution experience. Int J Pediatr Otorhinolaryngol. 2019 Apr;119:22–26. doi: 10.1016/j.ijporl.2019.01.010.

23. A. K. Keshri, S. R. Shah, S. D. Patadia, R. N. Sahu, S. Behari, Transnasal endoscopic repair of pediatric meningoencephalocele, J. Pediatr. Neurosci. 11 (1) (2016) 42–45.

24. Gaidukov S. S., Naumenko A. N. Kriterii vybora sposoba plastiki defektov osnovaniia cherepa u bolnykh nazalnoi likvoreei [Criteria for choosing the method of plasty of skull base defects in patients with nasal liquorrhea]. Rossiiskaia otorinolaringologiia [Russian Otorhinolaryngology]. — 2014 — No. 1 — P. 33–36. (In Russ.)

25. Nogueira JF Jr, Stamm AC, Vellutini E, Santos FP. Endoscopic management of congenital meningoencephalocele with nasal flaps. Int J Pediatr Otorhinolaryngol 2009;73 (1):133–137 https://doi.org/10.1016/j. ijporl.2008.09.013

26. N. R. London, G. G. Rangel, A. Onwuka, R. L. Carrau, D. M. Prevedello, J. A. Leonard, P. C. Walz Reconstruction of pediatric skull base defects: A retrospective analysis emphasizing the very young International Journal of Pediatric Otorhinolaryngology (2020) 133; 109962 https://doi.org/10.1055/s-0040–1702369

27. Adam M. Zanation, Ricardo L. Carrau, Carl H. Snyderman, Anand V. Germanwala, Paul A. Gardner, Daniel M. Prevedello, Amin B. Kassam. Nasoseptal flap reconstruction of high flow intraoperative cerebral spinal fluid leaks during endoscopic skull base surgery. Am J Rhinol Allergy. 2009;23:518–521 https:// doi.org/10.2500/ajra.2009.23.3378

28. N. Shah, Ch. Deopujari, V. Bommakanti The reconstruction of skull base defects in infants using pedicled nasoseptal flap — a review of four cases Child's Nervous System 35: (11);57–2162 https://doi.org/10.1007/s00381-019-04132-0

29. Chivukula S, Koutourousiou M, Snyderman CH, Fernandez-Miranda JC, Gardner PA, Tyler-Kabara EC. Endoscopic endonasal skull base surgery in the pediatric population. J Neurosurg Pediatr 2013;11 (3):227–241

https://doi.org/10.3171/2012.10.peds12160

Список сокращений

БМЭЦ — базальное менингоэнцефалоцеле

НЛ — назальная ликворея

КТ — компьютерная томография

КТЦГ — компьютерная цистернография

МРТ — магнитно-резонансная томография

ВЛ — васкуляризированный лоскут

Введение

Базальные менингоэнцефалоцеле (черепно-мозговая грыжа) — редкая патология, проявляющаяся пролабированием измененных оболочек и тканей головного мозга через костный дефект основания черепа. По этиологии они могут быть врожденные и приобретенные в результате травмы или хирургического вмешательства [1]. По данным разных авторов, частота врожденных менингоэнцефалоцеле составляет от 1 на 6–35 тыс. новорожденных. По частоте встречаемости приобретенных менингоэнцефалоцеле нет точных сведений [2, 3].

При лечении пациентов с данной патологией широко используется эндоскопическая техника, позволяющая устранить менингоэнцефалоцеле без внешних разрезов и косметических дефектов с минимумом кровопотери [4]. С другой стороны, при использовании эндоскопического доступа существуют высокие риски послеоперационной ликвореи и рецидивов грыжи, что связано с ограничениями возможности пластики основания черепа [5].

В 2006 г. G. Hadad и соавт. разработали методику использования назосептального лоскута на питающей ножке для пластики дефектов основания черепа. Сообщалось, что эффективность его применения выше, чем при пластике свободными трансплантатами (фрагменты широкой фасции бедра, жировой клетчатки, хряща из перегородки носа и т. д.) [6]. Также было предложено несколько других типов трансплантатов (перикраниальных, нёбных), а также разработана методика формирования лоскутов из нижних и средних носовых раковин [7]. Использование васкуляризированных лоскутов для пластики посттравматических дефектов после удаления опухолей основания черепа привело к снижению риска ликвореи в послеоперационном периоде и минимизации осложнений [8].

Васкуляризированные лоскуты являются методом выбора для пластики дефектов после трансназального эндоскопического удаления новообразований хиазмально-селлярной области у взрослых [9]. В педиатрической практике использование васкуляризированных лоскутов остается спорным вопросом, так как нет достаточных данных о возможности их использования без нежелательных последствий в виде повреждений зон роста перегородки носа и других структур лицевого скелета [10]. В основном в литературе встречаются описания единичных случаев или небольшие серии, в которых сообщалось об успешном применении лоскутов у детей для пластики дефектов основания черепа и отсутствии осложнений в послеоперационном периоде [11, 12].

Таким образом, целью нашей работы являлась оценка эффективности и безопасности применения васкуляризированных лоскутов при устранении менингоэнцефалоцеле, а также уточнение показаний к их применению в педиатрической практике.

Материал и методы

Проведен ретроспективный анализ серии пациентов в возрасте от 0 до 18 лет с базальными менингоэнцефалоцеле, проходивших хирургическое лечение в ФГАУ НМИЦН имени Н.Н. Бурденко в период с 2008 по 2020 г.

Было выделено две группы:

• пациенты, которым после устранения БЭНЦ пластика основания черепа проводилась с пользованием свободных (неваскуляризированных) трансплантатов (группа 1);

• пациенты, у которых были применены васкуляризированные лоскуты (группа 2).

Всем пациентам диагноз был поставлен на основании клинических данных, подтвержденных результатами КТ, МРТ или КТЦГ.

При формировании групп использовался метод псевдорандомизации. Пациенты были отобраны таким образом, чтобы не было статистической разницы по возрасту, полу, весу, этиологии менингоэнцефалоцеле, клиническим симптомам, уровню гемоглобина и количеству эритроцитов до операции (табл. 1).

Все пациенты были прооперированы с использованием эндоскопического доступа. Использовалась эндоскопическая стойка фирмы «Карл Шторц», (Германия), включающая в себя монитор, HD-видеокамеру, галогеновый источник света. Применялась эндоскопическая оптика, состоящая из ригидных 4 мм эндоскопов с различными углами зрения — 0°, 30°, 45°, моно- и биполярная коагуляция, стандартные эндоскопические инструменты и инструменты, изогнутые под различными углами.

Первым этапом во время операции проводилось выделение из окружающих тканей и удаление менингоцеле с помощью монополярной коагуляции или микроножниц. Вторым этапом осуществлялось обнажение костных краев дефекта основания черепа. Далее выполнялась многослойная пластика с использованием различных видов трансплантатов.

В случае использования свободных (неваскуляризированных) лоскутов (группа 1) использовались аутотрансплантаты: фрагменты широкой фасции бедра, фрагменты жировой клетчатки, фрагменты кости, хряща перегородки носа и гемостатический материал — Тахокомб. При этом сначала устанавливали пластический материал интракраниально, затем снаружи от дефекта с его значительным перекрытием фиксировали второй трансплантат (рис. 1).

Рис. 1. Фото операционной раны: осмотр полости носа через эндоскоп справа (0 °): а) дефект основания черепа в области крыши решетчатого лабиринта справа (указан стрелкой); б) широкая фасция бедра (FL) расположена в области дефекта крыши решетчатого лабиринта справа. SN — перегородка носа, MT — средняя носовая раковина

Забор фрагмента широкой фасции бедра проводился по стандартной методике из горизонтального разреза длиной 3–5 см на наружной поверхности верхней трети бедра.

При использовании васкуляризированных лоскутов (группа 2) интракраниально, как правило, устанавливали пластины Тахокомба, затем со стороны полости носа укладывали перемещенный лоскут на питающей ножке.

Использовалось несколько вариантов васкуляризированных лоскутов:

1. Назосептальный (n = 6) — для его формирования проводилось два горизонтальных разреза слизистой носовой перегородки на стороне дефекта. Верхний разрез располагался на 1–2 см ниже от уровня верхней носовой раковины, чтобы сохранить обонятельный эпителий, располагающийся выше. Спереди оба разреза соединялись вертикальным разрезом. Далее проводилась отслойка лоскута от перегородки носа с помощью распатора. Затем лоскут ротировали и укладывали на область дефекта. Кровоснабжение обеспечивалось ветвями задней перегородочной и клино-нёбной артерией (рис. 1). Лоскут использовался при дефектах ситовидной пластинки и клиновидной пазухи (рис. 2).

Рис. 2. Фото операционной раны: осмотр полости носа через эндоскоп слева (0 °): а) дефект основания черепа в области ситовидной пластинки слева (указан стрелкой); б) назосептальный лоскут (NL), расположенный в области ситовидной пластинки после удаление менингоэнцефалоцеле слева. SN — перегородка носа, MT — средняя носовая раковина

2. Ротированная средняя носовая раковина (n = 4) — проводили частичное рассечение хрящевого основания средней носовой раковины и перемещение ее в область дефекта. Кровоснабжение лоскута сохранялось за счет передней решетчатой артерии. Метод применялся при дефектах в области крыши решетчатого лабиринта, ситовидной пластинки (рис. 3).

Рис. 3. Фото операционной раны: осмотр полости носа через эндоскоп справа (0 °): а) дефект основания черепа в области крыши решетчатого лабиринта после удаления менингоэнцефалоцеле справа (указан стрелкой); б) ротированная средняя носовая раковина (MTL), расположенная в области дефекта. SN — носовая перегородка, MT — средняя носовая раковина

Для определения безопасности проведено сравнение по частоте интраоперационных осложнений, величине кровопотери, а также количеству эритроцитов, структура жалоб в послеоперационном периоде. Для определения эффективности исследуемые группы сравнивали по частоте развития назальной ликвореи, рецидива менингоцеле, воспалительных осложнений (менингит, абсцесс головного мозга) в послеоперационном периоде.

Статистический анализ

Статистический анализ проводили с использованием точного критерия Фишера и анализа произвольных таблиц сопряженности с использованием критерия χ2. Проведен анализ литературных источников в целях сравнения полученных нами данных с результатами других исследований.

Результаты

Результаты статистического анализа сравниваемых групп приведены в табл. 2.

Как видно из таблицы, не было установлено статистически значимой разницы в группах по размеру дефекта и частоте применения люмбального дренажа.

Также необходимо отметить, что продолжительность операции в группе, где использовали назосептальной лоскут, не выше, чем в группе, где применялась широкая фасция бедра. Не выявлено достоверных различий по объему кровопотери в группах.

Установлена статистически значимая разница в группах по локализации дефекта (p = 0,048). Васкуляризированные лоскуты не применялись при дефектах лобной пазухи. Однако в большинстве наблюдений — 7 (70 %) васкуляризированные лоскуты применялись при дефектах ситовидной пластинки. Свободные трансплантаты применялись для пластики дефекта любой локализации.

В первой группе пластика дефекта основания черепа после устранения БМЭЦ была эффективна в 8 наблюдениях (80 %) при первичных операциях. В 2 наблюдениях (20 %) отмечалась послеоперационная НЛ. Во второй группе пластика дефектов основания черепа была эффективна в 9 наблюдениях (90 %). Рецидив возник у одного (10 %) пациента. Статистический анализ не показал значимой разницы между группами по рецидивам в послеоперационном периоде (p = 1).

Отмечена статистически значимая разница в группах по жалобам в раннем послеоперационном периоде (p < 0,001). Все 10 пациентов (100 %) из первой группы сообщили о боли в области послеоперационной раны на бедре, чего не было во второй группе.

Приведем примеры пациентов, у которых выполнялась повторная операция по поводу возникновения назальной ликвореи.

Клиническое наблюдение 1

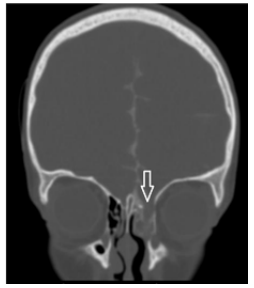
Пациент Н., 5 лет, был направлен в Центр в связи с назальной ликвореей. Из анамнеза известно, что три месяца назад перенес черепно-мозговую травму в результате ДТП. Отмечались ушиб головного мозга тяжелой степени с формированием контузионно-геморрагического очага 2 типа лобной доли, субарахноидального кровоизлияния, множественных дефектов в области лобной пазухи, крыши решетчатого лабиринта слева. По данным КТЦГ выявлялось менингоцеле клеток решетчатого лабиринта, признаки истечения ликвора из дефекта в крыше решетчатого лабиринта (рис. 4).

Рис. 4. КТЦГ фронтальная проекция, менингоцеле клеток решетчатого лабиринта слева. Стрелкой указан дефект в области крыши решетчатого лабиринта

Ход лечения: выполнено эндоскопическое удаление менингоэнцефалоцеле с пластикой дефекта передних отделов крыши решетчатого лабиринта. Во время операции в качестве пластического материала применяли фрагмент широкой фасции бедра. Послеоперационный период протекал удовлетворительно, однако спустя месяц после операции НЛ возобновилась. Пациенту повторно выполнена многослойная пластика дефектов крыши решетчатого лабиринта и лобной пазухи с использованием широкой фасции бедра и Тахокомба. При повторном осмотре через год рецидивов не отмечалось.

Клиническое наблюдение 2

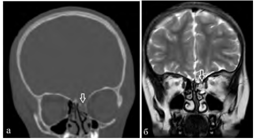
Пациентка Н., 6 лет, обратилась в Центр нейрохирургии с жалобами на периодические жидкие выделения из левой половины носа, нарушения обоняния, головные боли. По данным анамнеза в 5 лет получила травму в результате ДТП. Лечилась по месту жительства с диагнозом: сочетанная автодорожная травма: тяжелая лобно-лицевая травма. Ушиб головного мозга тяжелой степени. Паренхиматозно-субарахноидальное кровоизлияние. Вдавленный перелом лобной кости с переходом линии перелома на верхнеглазничные края орбит, корень носа, чешую височной кости справа, на переднюю черепную ямку. Перелом верхней челюсти справа. Гематосинус справа. По месту жительства проведена операция: декомпрессионная трепанация с удаление вдавленных отломков лобной кости. Спустя месяц пациентка выписана в удовлетворительном состоянии под амбулаторное наблюдение педиатра и невролога. Вскоре отметили появление жидких выделений из полости носа слева. Выполнено КТ, МРТ, на которых выявлено трансэтмоидальное менингоцеле, дефект основания черепа в области крыши решетчатого лабиринта слева (рис. 5).

Рис. 5: а — КТ, б — МРТ, фронтальная проекция, менингоцеле клеток решетчатого лабиринта слева. Стрелкой отмечен дефект крыши решетчатого лабиринта

Ход лечения. В связи с высоким риском развития менингита из-за наличия рецидивирующей назальной ликвореи было принято решение первым этапом устранить менингоэнцефалоцеле и выполнить пластику дефекта крыши решетчатого лабиринта эндоскопическим доступом. Вторым этапом планировалась краниопластика. Во время операции было удалено менингоцеле, визуализирован крупный дефект. Интракраниально установили пластины Тахокомба, со стороны полости носа поверх дефекта уложен лоскут, сформированный из носовой раковины. Послеоперационный период протекал без осложнений, пациентка была выписана на 5-е сутки после операции.

Спустя 6 месяцев у пациентки на фоне ОРЗ и сильного кашля появилась менингиальная симптоматика, возникли симптомы назальной ликвореи. После проведенного лечения по поводу менингита пациентке выполнили повторную пластику транскраниальным доступом с одномоментной краниопластикой. Во время операции в качестве пластических материалов для закрытия дефекта основания черепа использовали васкуляризированный надкостничный лоскут, пластины Тахокомба.

Таким образом, причиной возникновения назальной ликвореи в первом случае являлось отторжение трансплантата спустя месяц после пластики за счет субатрофических посттравматических изменений в полости носа. Во втором случае провоцирующими факторами являлся сильный кашель, а также развившийся менингит, который привел к лизису рубца в зоне фистулы.

Дискуссия

Менингоэнцефалоцеле основания черепа — это редкое заболевание, которое может привести к тяжелым воспалительным осложнениям, таким как менингит, менингоэнцефалит, абсцесс головного мозга. Лечение БМЭЦ хирургическое, которое заключается в иссечении грыжевого мешка с герметичным закрытием дефекта [13].

По данным литературных источников, наиболее эффективно использование многослойной пластики с размещением трансплантатов интракраниально и экстракраниально со стороны полости носа [14–16]. Существует описание различных видов трансплантатов, среди которых выделяют свободные аутотрансплантаты (фрагменты широкой фасции бедра, жировой клетчатки, кости, хряща), гемостатический материал (Тахокомб) и васкуляризированные лоскуты (назосептальный лоскут, лоскут из носовой раковины) [17]. Однако нет четкого алгоритма для выбора трансплантата при лечении менингоэнцефалоцеле основания черепа у детей.

Известно, что риск возникновения назальной ликвореи в послеоперационном периоде при использовании свободных трансплантатов выше, чем при использовании васкуляризированных лоскутов. По данным M. Koutourousiou и соавт., при использовании свободных трансплантатов НЛ возникала в 58,8 % наблюдений, а при применении васкуляризированных назосептальных лоскутов всего лишь в 10 % наблюдений [18]. A. Laibangyang и соавт. сообщают об успешном применении лоскутов для пластики дефектов основания черепа и отсутствии осложнений в послеоперационном периоде у детей [19].

С другой стороны, в литературе сообщается о риске возникновения различных осложнений, таких как деформация носа, формирование спаек, атрофический ринит [20]. Также существует мнение, что у детей формирование лоскута затруднительно в связи с небольшим размером полости носа, незавершенным развитием эндоназальных структур и околоносовых пазух [21].

Nation и соавт. анализировали эффективность различных трансплантатов для пластики дефектов основания черепа после удаления опухолей селлярной и параселлярной областей у детей. Они полагают, что при возникновении профузной назальной ликвореи интраоперационно (например, при вскрытии желудочковой системы во время удаления опухоли) необходимо применять васкуляризированные лоскуты для надежной герметизации дефекта. В случаях, когда назальная ликворея во время операции незначительная или отсутствует, возможно применение свободных трансплантатов [22]. Keshri и соавт. в своем исследовании ориентировались на размеры дефекта. При дефектах более 5 мм они рекомендовали использовать васкуляризированные лоскуты [23].

В нашей работе проводился анализ собственного опыта использования васкуляризированных лоскутов у детей. Серия охватывает 10-лений опыт работы начиная с 2010 г. и включает то время, когда мы осваивали методику. Не получено статистически значимых различий между группами по размеру дефекта и частоте использования люмбального дренажа.

Помимо характеристик дефекта, некоторые авторы в выборе трансплантата опирались на данные о локализации дефекта. Гайдуков С. С. и соавт. приводили алгоритм выбора васкуляризированного транплантата при пластике дефектов у взрослых пациентов с назальной ликвореей. При расположении дефекта в области ситовидной пластинки или клиновидной пазухе авторы рекомендовали применение назосептального лоскута, при расположении фистулы в области крыши решетчатого лабиринта — лоскута из средней носовой раковины [24]. Мы придерживались похожего алгоритма в зависимости от расположения дефекта. Васкуляризированные лоскуты не применялись при дефектах лобной пазухи, так как его длины может не хватить, а также высок риск обструкции носолобного кармана при его использовании.

Анализ полученных данных показал, что группы сопоставимы по времени проведения операции и анестезиологического пособия. Кровопотеря во время операции, уровень гемоглобина и количество эритроцитов после операции в группах не имели достоверных различий. Это подчеркивает, что использование васкуляризированных лоскутов не удлиняет время вмешательства, не обладает большей травматичностью. С другой стороны, в первой группе у всех пациентов отмечались жалобы на боли в послеоперационной ране на бедре (p < 0,001), в двух случаях отмечалось развитие послеоперационной гематомы в послеоперационной области на бедре, чего не отмечалось во второй группе. Не выявлено различий по явлению послеоперационного ринита. Nougueira и соавт. сообщают, что в детском возрасте выполнять санацию с помощью электроотсоса детям затруднительно в связи с беспокойством ребенка. Недостаточный уход за полостью носа может привести к образованию атрофического ринита и спаек, особенно у пациентов с большой раневой поверхностью, образовавшейся после забора лоскута [25]. По мнению London Jr., у пациентов младше 6 лет развитие местного воспаления и несостоятельность пластики может встречаться чаще в связи с неадекватным уходом за полостью носа в послеоперационном периоде. Для решения этих проблем они предлагают использовать седацию в послеоперационном периоде для выполнения санирующих манипуляций, чтобы избежать сильного плача и натуживания у детей [26].

В литературе сообщается о негативном воздействии на зоны роста перегородки и черепно-лицевого скелета при заборе трансплантата [27]. Тем не менее Shah и соавт. исследовали возможность применения назосептального лоскута у 4 младенцев. Они сообщили об отсутствии негативного эффекта на рост перегородки и черепно-лицевую область при наблюдении детей в течение 23 месяцев после операции, поскольку производили забор лоскута только с одной стороны и не травмировали костно-хрящевые структуры перегородки носа [28]. В нашей серии случаев также не было отмечено подобных осложнений. Однако не было проведено долгосрочного наблюдения и не проводился осмотр этих пациентов в подростковом возрасте, когда происходит интенсивный рост структур перегородки носа.

По нашим данным, при использовании васкуляризированных лоскутов процент послеоперационной ликвореи был в два раза меньше, чем при использовании свободных трансплантатов (10 и 20 % соответственно), но эти различия статистически не значимы из-за малой выборки пациентов. Chivukula и соавт. сообщили, что с началом использования назосептального лоскута для пластики дефектов основания черепа после эндоскопического удаления опухолей риск развития послеоперационной назальной ликвореи снизился с 12,5 до 8,9 % [29].

Ограничением настоящего исследования является ретроспективный дизайн, небольшое количество наблюдений, а также отсутствие отдаленного катамнеза. Для получения более достоверных результатов необходимо продолжить исследование по данному вопросу.

Выводы

1. Васкуляризированные лоскуты являются эффективными для пластики дефекта основания черепа у детей при устранении менингоэнцефалоцеле.

2. Доказана безопасность использования лоскутов интраоперационно и в раннем послеоперационном периоде. Остается неизученным вопрос об отдаленных результатах и влиянии формирования васкуляризированного лоскута на структуры лицевого скелета.

3. При планировании устранения менингоэнцефалоцеле у детей и выборе пластического материала необходимо учитывать локализацию фистулы.

КОНФЛИКТ ИНТЕРЕСОВ

Авторы заявляют об отсутствии конфликта интересов.

CONFLICT OF INTEREST

The authors declare no conflict of interest.

Участие авторов:

Концепция и дизайн исследования — Ш. Е. В, Ч. Н. А., С. Л. А.

Сбор и обработка материала — Ч. Н. А., С. Ю. В.

Написание текста — Ч. Н. А., С. Л. А., С. А. В.

Редактирование — Ш. Е. В., Н. С. Д., К. М. А.

Язык статьи:
Действия с выбранными: