Заявка на подписку:

a.suhodolova@panor.ru

По всем вопросам звоните:

+7 495 274-22-22

УДК: 615.8; 616.5; 616.97

Клинические наблюдения редких форм красного плоского лишая: синдром Грэхема-Литтла–Пиккарди–Лассюэра (случай из практики)

Федотова Ксения Юрьевна врач-дерматовенеролог МНПЦДК филиала «Центральный», E-mail: dr.kseniafedotova@gmail.com
Круглова Лариса Сергеевна доктор медицинских наук, зав. отделением физиотерапии и лазеротерапии МНПЦДК, E-mail: kruglovals@mail.ru
Бобров Максим Александрович врач МНПЦДК филиала «Центральный», E-mail: m.a.bobrov@yandex.ru
Левшин Роман Николаевич кандидат медицинских наук, врач-дерматовенеролог, Елецкий кожно-венерологический диспансер

В статье описана редкая форма красного плоского лишая — синдром Грэхема-Литтла–Пиккарди– Лассюэра. Рассмотрены сведения об этиологии, клинические и патоморфологические критерии диагностики, гистологическая картина, дифференциальная диагностика, методы лечения. Представлено собственное клиническое наблюдение синдрома Грэхема-Литтла–Пиккарди–Лассюэра у мужчины 43 лет. Диагноз поставлен на основании анамнестических данных, клинической картины и течения заболевания. Описан перспективный метод лечения красного плоского лишая с помощью фотодинамической терапии и топического препарата «Такролимус» 0,1%.

Литература:

1. Круглова Л. С., Шахнович А. А., Шептий О. В., Ляшенко А. Ю. Влияние сочетанной фототерапии на уровень дефенсинов в сыворотке крови больных красным плоским лишаем // Физиотерапия, бальнеология и реабилитация. — 2011. — № 3. — С. 32–33.

2. American College of Obstetricians and Gynecologists. Diagnosis and management of vulvar skin disorders // National Guideline Clearinghouse. — May 2008.

3. Assouly P., Reygagne P. Lichen planopilaris: Update on diagnosis and treatment // Semin Cutan Med Surg. — 2009. — № 28. — Р. 3–10.

4. [Best Evidence] Shengyuan L., Songpo Y., Wen W., Wenjing T., Haitao Z., Binyou W. Hepatitis C virus and lichen planus: a reciprocal association determined by a meta-analysis // Arch Dermatol. — Sep 2009. — № 145 (9). — Р. 1040–7.

5. Bigby M. The relationship between lichen planus and hepatitis C clarifi ed // Arch Dermatol. — Sep 2009. — № 145 (9). — Р. 1048–50.

6. Chuang T. Y., Stitle L., Brashear R., Lewis C. Hepatitis C virus and lichen planus: A case-control study of 340 patients // J Am Acad Dermatol. — Nov 1999. — № 41 (5 Pt 1). — Р. 787–9.

7. Conrotto D., Carbone M., Carrozzo M. et al. Ciclosporin vs. clobetasol in the topical management of atrophic and erosive oral lichen planus: a double-blind, randomized controlled trial // Br J Dermatol. — Jan 2006. — № 154 (1). — Р. 139–45.

8. Cribier B., Frances C., Chosidow O. Treatment of lichen planus. An evidence-based medicine analysis of effi cacy // Arch Dermatol. — Dec 1998. — № 134 (12). — Р. 1521–30.

9. Gisondi P., Ellis C. N., Girolomoni G. Pimecrolimus in dermatology: atopic dermatitis and beyond // Int J Clin Pract. — 2005. — № 59. — Р. 969–74.

10. Gonzalez-Moles M. A., Scully C., Gil-Montoya J. A. Oral lichen planus: controversies surrounding malignant transformation // Oral Dis. — Apr 2008. — № 14 (3). — Р. 229–43.

11. Korkij W., Chuang T. Y., Soltani K. Liver abnormalities in patients with lichen planus. A retrospective case-control study // J Am Acad Dermatol. — Oct 1984. — № 11 (4 Pt 1). — Р. 609–15.

12. Lim K. K., Su W. P., Schroeter A. L., Sabers C. J., Abraham R. T., Pittelkow M. R. Cyclosporine in the treatment of dermatologic disease: an update // Mayo Clin Proc. — Dec 1996. — № 71 (12). — Р. 1182–91.

13. Mobini N., Loussaint S., Kamino H. Non infectious erythematous papular and squamous disease / In: Elder D. E., Elenitsas R., Johnson B. L., Murthy G. F., editors. Lever’s Histopathology of skin. 9th ed. — Philadelphia: Lippincott William Wilkins, 2005. — Р. 179–214.

14. Nghiem P., Pearson G., Langley R. G. Tacrolimus and pimecrolimus: from clever prokaryotes to inhibiting calcineurin and treating atopic dermatitis // J Am Acad Dermatol. — 2002. — № 46. — Р. 228–41.

15. Omidian M., Ayoobi A., Mapar M., Feily A., Cheraghian B. Effi cacy of sulfasalazine in the treatment of generalized lichen planus: randomized double-blinded clinical trial on 52 patients // J Eur Acad Dermatol Venereol. — Feb 10 2010. — № 12 (1). — Р. 243–256.

16. Raslan H. M., Ezzat W. M., Abd El Hamid M. F., Emam H., Amre K. S. Skin manifestations of chronic hepatitis C virus infection in Cairo, Egypt // East Mediterr Health J. — May-Jun 2009. — № 15 (3). — Р. 692–700.

ВВЕДЕНИЕ. ИСТОРИЯ ВОПРОСА

В 1914 году Пиккарди впервые описал случай прогрессивной рубцовой алопеции волосистой части головы, тотальной алопеции подмышечных впадин и паха и фолликулярного красного плоского лишая (КПЛ) на туловище и конечностях, которому он дал название cheratosi spinulosa. В 1915 году Грэхем-Литтл опубликовал подобный случай у 55-летней женщины, на который ссылался Лассюэр из Лозанны, Швейцария [6]. Позже, в 1936 году, Фельдман также сообщил еще один аналогичный случай, который он назвал lichen planus et acuminatus atrophicans (КПЛ и атрофический красный плоский лишай).

Синдром Грэхема-Литтла–Пиккарди–Лассюэра (СГЛПЛ) — редкий лихеноидный дерматоз, характеризующийся триадой: мультифокальной прогрессирующей рубцовой алопецией волосистой части головы, потерей волос в подмышечной области и на лобке без явных клинических признаков развития рубцов, быстрым развитием фолликулярного кератоза и высыпаниями по типу красного плоского лишая, чаще в области промежности.

На основании клинических симптомов и гистологических критериев синдром Грэхема-Литтла–Пиккарди–Лассюэра является вариантом фолликулярного или остроконечного красного плоского лишая (lichen planopilaris) [4]. При этом установлено, что как минимум у 50% пациентов с СГЛПЛ присутствовал хотя бы один эпизод типичных высыпаний, характерных для красного плоского лишая на коже и (или) слизистой.

Так же как и при КПЛ, синдром Грэхема-Литтла–Пиккарди–Лассюэра, скорее всего, является результатом Т-клеточно-опосредованной иммунной реакции неизвестной этиологии, которая включает в себя деструкцию кератиноцитов, экспрессирующих специфические антигены [5; 16]. Синдром Грэхема-Литтла–Пиккарди–Лассюэра встречается относительно редко. В Medline с 1951-го по 2014 год (все языки были включены) описано менее 50 случаев данного синдрома в литературе.

Важно, что прогрессирующая рубцовая алопеция кожи головы может вызвать психоэмоциональный стресс у больных. Заболевание не связано с сопутствующими системными заболеваниями и не повышает уровень смертности. Большинство пациентов с СГЛПЛ — это среднего возраста женщины без этнической предрасположенности. Клинические наблюдения показывают, что женщины страдают чаще, чем мужчины, хотя редкость данного синдрома препятствует достоверному толкованию этих данных. Только несколько сообщений в литературе описывают случаи этого заболевания у мужчин [11]. Возраст пациентов варьирует от 30 до 60 лет.

КЛИНИЧЕСКАЯ КАРТИНА

Течение заболевания медленно прогрессирующее (месяцы, годы) и часто хроническое. В 2003 году Ghislain et al. сообщили о 50-летней женщине, у которой первоначально выявлялись диссеминированные высыпания, характерные для красного плоского лишая. Высыпания впоследствии трансформировались в классическую триаду СГЛПЛ более чем за 20-летний период [15].

В то время как проявления синдрома являются переменными, у большинства пациентов обычно имеются клинические данные в следующем порядке, называемые триадой синдрома:

— рубцовая алопеция кожи головы;

— нерубцовая алопеция в подмышечных впадинах и на лобке;

— фолликулярный красный плоский лишай туловища и (или) волосистой части головы.

У большинства больных рубцовая алопеция волосистой части головы не дает хороший ответ на лечение, и результатом является прогрессирующее и стойкое очаговое выпадение волос. В отличие от этого фолликулярный красный плоский лишай, как правило, демонстрирует хороший ответ на лечение.

Дифференциальную диагностику проводят с такими заболеваниями, как фолликулярный муциноз, красный плоский лишай, дискоидная красная волчанка, красный отрубевидный волосяной лишай, псевдопелада Брока и саркоидоз.

ЛАБОРАТОРНЫЕ ИССЛЕДОВАНИЯ

Первоначальные исследования могут включать определение антинуклеарных антител (ANA), ядерных антигенов (AENA), серологическое исследование на вирус гепатита B и C и показатели функции печени, чтобы исключить другие сопутствующие системные причины рубцовой алопеции.

ЛЕЧЕНИЕ

Топические, внутриочаговые и системные кортикостероиды, ретиноиды, ПУВА-терапия и противомалярийные препараты были использованы с ограниченным успехом у пациентов с синдромом. В последние годы в различных тематических докладах были изложены случаи успешного лечения циклоспорином A [2; 8], талидомидом [7; 10; 12] и метронидазолом. Однако до сих пор нет единой тактики лечения данной клинической формы КПЛ. Пациенты, как правило, лечатся эмпирически, согласно клинической картине.

Рис. 1. Очаги красного плоского лишая

Рис. 2. Очаги красного плоского лишая

Рис. 3. Очаги красного плоского лишая

Рис. 4. Очаги красного плоского лишая

КЛИНИЧЕСКИЙ СЛУЧАЙ СИНДРОМА ГРЭХЕМА-ЛИТТЛА– ПИККАРДИ–ЛАССЮЭРА

Учитывая редкость данной нозологии и отсутствие единых алгоритмов ведения, считаем, что настоящее наблюдение представляет определенный клинический интерес.

Пациент А., 43 года, обратился с жалобами на высыпания на коже волосистой части головы, лица, выпадение и отсутствие роста волос на коже волосистой части головы, подмышечных впадин и лобка, сопровождающиеся периодическим зудом (рис. 1–4).

Из анамнеза заболевания: высыпания впервые появились более пяти лет назад на коже волосистой части головы, в связи с чем дерматолог по месту жительства выставил диагноз «красный плоский лишай». Пациент использовал глюкокортикоиды для наружного применения без видимого эффекта. Впоследствии высыпания распространились на кожу лица, подмышечные впадины и пах. Последние два года пациент стал отмечать выпадение волос на коже головы, подмышечных впадин и лобка. Со стороны внутренних органов патологических изменений не выявлено. Клинические и биохимические анализы без особенностей.

При осмотре: на коже волосистой части головы, лица, подмышечных впадин и паховой области множество мелких фолликулярных, остроконечных узелков телесного цвета с небольшими роговыми шипиками на верхушке без признаков воспаления. При поглаживании кожа представляется сухой, жесткой, шероховатой и создает впечатление терки. На волосистой части головы, в области темени, затылка и висков, имеются небольшой величины очаги выпадения волос круглой или овальной формы. Местами очаги алопеции сливаются и образуют участки значительной величины (3×4–5×7 см) с фестончатыми очертаниями. Кожа в пределах очагов облысения натянута, блестит, атрофична и как бы вдавлена, окраска нормальная. По периферии очагов алопеции располагаются фолликулярные конусовидные узелки. Волосы в подмышечных ямках и на лобке разрежены, часть их обломана и истончена (нерубцовые участки облысения) (рис. 5).

Учитывая особенности клинической картины, данные анамнеза, был выставлен предположительный диагноз «красный плоский лишай, синдром Грэхема-Литтла–Пиккарди–Лассюэра». Было рекомендовано проведение гистологического исследования образцов ткани.

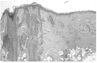
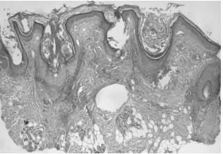
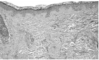
Первичные высыпания фолликулярного красного плоского лишая гистологически представлены в виде перифолликулярного лимфоцитарного инфильтрата на уровне фолликулярной воронки и перешейка наряду с вакуольной альтерацией клеток наружного волосяного влагалища и клиновидным гипергранулезом в устье пораженного волоса. В более длительно существующих случаях визуализируются перифолликулярный фиброз и атрофия эпителия на уровне фолликулярной воронки и перешейка, что представлено в характерной конфигурации «песочные часы». При длительно существующих случаях на месте алопеции определяются вертикально ориентированные эластические волокна, которые заменяют разрушенные волосяные фолликулы.

Аналогичную гистологическую картину мы получили и в нашем случае. Это терминальная стадия рубцовой алопеции без волосяных фолликулов, что позволяет поставить диагноз «псевдопеллада Брока» [13] (рис. 6–10).

Рис. 5. Очаги красного плоского лишая

Также при проведении патоморфологического исследования биопсийного материала было выявлено следующее: очаговый гиперкератоз, неравномерный гипергранулез, отек в шиповидном слое, вакуольная дистрофия клеток базального слоя, полосовидные или периваскулярные инфильтраты в верхних слоях дермы. Выявленные гистологические изменения более всего соответствуют красному плоскому лишаю, фолликулярной форме.

Как уже говорилось выше, лечение менее эффективно для фолликулярного красного плоского лишая по сравнению с типичной формой КПЛ, за исключением ранней стадии. После возникновения рубцевания теоретически рост волос невозможен [3]. Таким образом, целью лечения является блокирование прогрессирования заболевания, предотвращение дальнейшего облысения и симптоматическая терапия.

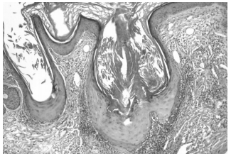
Рис. 6. Лимфогистиоцитарные инфильтраты вокруг волосяных фолликулов в их истмической зоне с их атрофией в виде «песочных часов» (слева). Рубцовая атрофия (справа) с полным исчезновением волосяных фолликулов и сальных желез. Мышцы, поднимающие волос, сохранены. Окраска гематоксилином и эозином, ув. ×40

Рис. 7. Тот же препарат, левая часть, ув. ×100

Рис. 8. Тот же препарат, правая часть, ув. ×100

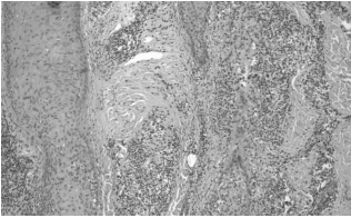
Рис. 9. Лимфогистиоцитарные инфильтраты вокруг расширенных устьев волосяных фолликулов. Эпидермис между фолликулами не изменен. Окраска гематоксилином и эозином, ув. ×40

Рис. 10. Тот же препарат, ув. ×100, ув. ×400. Изменения эпителия устья волосяного фолликула: вакуолизация и скваматизация клеток базального слоя, гипергранулез, ортогиперкератоз, участки атрофии

В настоящее время используются различные методы, среди них — топические, внутриочаговые и системные кортикостероиды, ретиноиды, циклоспорин, ПУВА-терапия, УФВ-терапия и противомалярийные препараты [1]. В нашем случае пациенту был проведен курс комбинированной терапии препаратом «Такролимус» 0,1% наружно 2 раза в день, 30 дней, совместно с фотодинамической терапией циклами по пять, с последующим семидневным перерывом. Процедуры фотодинамической терапии проводили с использованием светодиодного видеофлюоресцентного устройства УФФ-630–01 «БИОСПЕК» с дополнительным интегрированным импульсным источником света для диагностики и фотодинамической терапии. Плотность энергии лазерного излучения — 16–25 Дж/см 2, плотность мощности лазерного излучения — 40 мВт/см2 .

Фотодинамическая терапия, основанная на применении лекарственных препаратов — фотосенсибилизаторов и низкоинтенсивного лазерного излучения с длиной волны, соответствующей пику поглощения фотосенсибилизатора, может рассматриваться как терапия выбора крас ного плоского лишая, так как имеет ряд преимуществ. А именно возможность одновременного применения диагностического и лечебного воздействия, избирательность (поражается только область высыпаний), возможность многократного повторения лечебного процесса, косметический эффект, отсутствие тяжелых местных и системных осложнений, возможность проведения лечения пожилым людям и больным с тяжелой сопутствующей патологией, возможность проведения лечения в амбулаторных условиях.

Помимо прямого воздействия на ткани-мишени, фотодинамическая терапия вызывает иммунологические эффекты в виде изменения экспрессии цитокинов и повышения выработки интерлейкина 1-бета, интерлейкина-2 и фактора некроза опухоли — альфа. Наиболее подробно изучено влияние ФДТ на иммунную систему кожи. Так, отмечается достоверно значимое снижение выработки цитокинов, интерлейкинов ИЛ-1 бета и IL-6, TNF-альфа и угнетение пролиферации эпидермальных KI-67 клеток, CD-8 лимфоцитов и CD-45RO Т-клеток.

Помня о том, что материальной основой заболевания является иммунное воспаление (реакция гиперчувствительности замедленного типа), мы отдали предпочтение данной терапии, которая, оказывая влияние на иммунные реакции, повреждает и иммунокомпетентные клетки в коже. При этом исчезает поверхностный лимфоцитарный инфильтрат в дерме, нормализуется клеточный состав в эпидермисе.

МЕХАНИЗМ ДЕЙСТВИЯ ПРЕПАРАТА «ТАКРОЛИМУС»

Известно, что при использовании такролимуса происходит ингибирование пролиферации и активации CD4+ T-лимфоцитов-хелперов за счет соединения с клеточными рецепторами, известными как FK506-связывающий белок (FK506 binding protein — FKBP). Образующийся при этом комплекс подавляет активность кальциневрина, участвующего в переносе нуклеарного фактора активированных Т-лимфоцитов в ядро, вследствие чего не происходит инициации транскрипции генов, кодирующих продукцию ключевых для Т-клеточного иммунного ответа цитокинов (ИЛ-2 и γ-ИФН). Кроме того, происходит ингибирование транскрипции и генов, кодирующих продукцию таких цитокинов, как ИЛ-3, ИЛ-4, ИЛ-5, гранулоцитарно-макрофагального колониестимулирующего фактора (GM–CSF) и фактора некроза опухолей-α (TNF-α), которые принимают участие в начальных этапах активации Т-лимфоцитов.

Такролимус тормозит высвобождение медиаторов воспаления из тучных клеток, базофилов и эозинофилов, снижает экспрессию высокоаффинного поверхностного рецептора для иммуноглобулина Е на клетках Лангерганса, что ведет к снижению их активности и презентации антигена Т-лимфоцитам, кроме того, показано, что он вызывает их апоптоз [9; 14]. Важно подчеркнуть, что такролимус, оказывая противовоспалительное действие посредством влияния на Т-клеточный иммунный ответ и блокируя синтез ряда противовоспалительных цитокинов, не оказывает влияния на кератиноциты, клетки эндотелия и фибробласты и, таким образом, не вызывает атрофию кожи и изменение сосудистого тонуса. Поэтому этот препарат может применяться даже длительное время на участках с тонкой кожей (лицо, шея, складки) и у детей.

ОБСУЖДЕНИЕ

Синдром Грэхема-Литтла–Пиккарди–Лассюэра — заболевание, характеризующееся триадой симптомов: прогрессирующей рубцовой алопецией волосистой части головы, потерей волос в подмышечной области и на лобке без явных клинических признаков развития рубцов, быстрым развитием фолликулярного кератоза и высыпаний по типу красного плоского лишая, чаще в области промежности.

У пациента представлены все признаки триады. Течение заболевания медленно прогрессирующее. Согласно данным гистологической картины, клиники и анамнестических данных, диагноз был подтвержден. Комбинированное лечение препаратом «Такролимус» 0,1% наружно и фотодинамической терапией дало хороший клинический ответ (рис. 11–13). Отдаленные результаты наблюдений (один год) свидетельствовали об отсутствии прогрессирования процесса.

Таким образом, описанное клиническое наблюдение представляет собой практический интерес с точки зрения междисциплинарного подхода к диагностике и лечению пациентов с данной редкой формой. Данный случай показал высокую эффективность комбинированного метода, включающего фотодинамическую терапию и ингибитор кальциневрина, что позволяет предположить его эффективность и при других клинических формах красного плоского лишая и обусловливает необходимость дальнейших исследований в этом направлении.

Рис. 11. Пациент после проведенного лечения

Рис. 12. Пациент после проведенного лечения

Рис. 13. Пациент после проведенного лечения

Язык статьи:
Действия с выбранными: