Заявка на подписку:

vfilimonova@panor.ru

По всем вопросам звоните:

+7 495 274-22-22

УДК: 6616.08

Нёбный миоклонус и атаксия у пациентов нейрохирургического профиля (с описанием трех случаев)

В статье описываются три случая развития нёбного миоклонуса и атаксии у трех пациентов с различной нейрохирургической патологией и перенесших различные нейрохирургические вмешательства. У всех была выявлена гипертрофическая дегенерация олив, развившаяся через 8 месяцев, 7 месяцев и 8 лет после воздействия повреждающего фактора, и явления атрофии мозжечка у первого и третьего пациента через 5 и 8 лет соответственно. Прогрессирующие атаксия и нарушения глотания и речи отмечались двумя пациентами сразу после операции и у одной пациентки – через несколько лет. Обсуждаются возможные нейрохирургические причины развития нёбного миоклонуса в сочетании с мозжечковой атаксией.

Литература:

1. Peter Bouz, Rafeek O.J. Woods, Ramal R.M. Woods The Pathophysiological Basis for Hypertrophic Olivary Degeneration (HOD) Following Brainstem Insult // JSM Neurosurgery and Spine. – 2013. – № 1 (1). – Р. 1004.

2. Eetvelde Ruth Van, Lemmerling M., Backaert T., Favoreel N., Geerts B., Sommeling C., Hemelsoet D., Dekeyzer S. Imaging Features of Hypertrophic Olivary Degeneration. Review Article // Journal of the Belgian Sosciety of Radiology. – 2016. – № 100 (1): 71. – Р. 1–6. DOI: http//dx.doi.org/10.5334/jbr-btr.1065.

3. Jinane Fattouch, Antonella Conte, Claudio Colonnese, Alessandro Bozzao, Alfredo Berardelli, Giovanni Fabbrini. Unusual Clinical Manifestation Associated with Hypertrophic Olivary Degeneration // Movement Disorders. Clinical Practice. Vol.1. Issue 4. December. – 2014. – Р. 371–373. https://doi.org/10.1002/mdc3.12077.

4. Gerace C., Fele M.R., Luna R., Piazza G. Bilateral hypertrophic olivary degeneration // J. Neurol Neurosurg Psychiatry. – 2006 Jan. – № 77 (1). – Р. 73. doi: 10.1136/jnnp.2005.069831.

5. Guillain G., Mollaret P. Deux cas de myoclonies synchrones et rhythmes velopharyngo-laryngo-oculo-diaphragmatiques // Rev Neurol. – 1931. – Р. 545–66.

6. Martins W.A., Marrone L.C., Soder R.B., Costa J.C. Hypertrophic olivary degeneration: unveiling the triangle of Guillain-Mollaret. Images in neurology. – 2017. – P. 426–427. Doi:10.1590/0004-282X20160049.

7. Miki Hirano, Vaios Hatzoglou, Sasan Karimi, and Robert J. Young. Hypertrophic olivary degeneration resulting from posterior fossa masses and their treatments // Clin Imaging. – 2015 Sep-Oct. – № 39(5). – Р. 787–790. doi: 10.1016/j.clinimag.2015.05.015.

8. Krings T., Foltys H., Meister I.G., Reul J. Hypertrophic olivary degeneration following pontine haemorrhage: hypertensive crisis or cavernous haemangioma bleeding? // Journal of Neurology, Neurosurgery & Psychiatry.  – 2003. – № 74. – Р. 797–799. http://dx.doi.org/10.1136/jnnp.74.6.797.

Введение

Миоклонии мягкого нёба (син.: велопалатинный миоклонус, нистагм мягкого нёба, миоритмия) представляют собой ритмичные сокращения мягкого нёба с частотой 2–3 в секунду, которые нередко сочетаются с почти не отличимыми от тремора гиперкинезами в языке, нижней челюсти, гортани, шее, диафрагме и в дистальных отделах рук. Природа миоритмий полностью не выяснена. Имеется связь с нарушением функционального взаимодействия в стволово-мозжечковом «треугольнике» Гийена-Молларэ (зубчатые ядра мозжечка – красные ядра среднего мозга – оливы продолговатого мозга) [5]. Выделяют идиопатическую и симптоматическую миоклонию. Последнюю могут вызывать опухоли в области моста и продолговатого мозга, энцефаломиелит, травма, нейроинфекции, токсическое, дисметаболическое, демиелинизирующее поражение головного мозга [3, 8]. Предпосылкой возникновения симптоматической миоклонии может служить наследственная (или врожденная) недостаточность экстрапирамидной системы в структурах названного «треугольника». Биохимические механизмы миоклонуса изучены также недостаточно.

Предполагается вовлечение серотонинергических механизмов в патогенез миоклоний, однако среди больных имеются те, кто откликается на агонисты, а другие – на антагонисты серотонина.

Повреждение афферентных путей к нижнему ядру оливы (дентато-рубро-оливарного пути в треугольнике Гийен-Молларэ) приводит к формированию гипертрофической дегенерации олив (ГДО). ГДО – уникальная форма транснейрональной дегенерации, которая впервые была описана Оппенгеймом в 1887 г., однако этиология была неизвестна до начала ХХ века.

В 1926 г. Фуа (Foex) с соавт. описали процесс, относящийся к «транссинаптической дегенерации», при котором нейроны подвергаются некрозу и развитию реактивного глиоза после утраты синаптического входа в результате повреждения их афферентных волокон. Возникающий при этом «синдром деафферентации» является уникальной формой дегенерации, так как приводит к увеличению пораженной структуры в большей степени, чем к ее атрофии [1]. Типичные МРТ проявления – гиперинтенсивность в области нижнего ядра оливы с одной или двух сторон с последующим снижением интенсивности сигнала [2, 6]. Этот путь был впервые описан Гийен и Молларэ (Guillain and Mollaret) в 1931 г. как анатомическая основа нёбного миоклонуса, типичной клинической черты, связанной с ГДО. Стволовые повреждения, вовлекающие центральный путь покрышки, вызывают одноименную ГДО. Поражения мозжечка (зубчатого ядра и верхней ножки мозжечка) приводят к контрлатеральной ГДО. Поражения в среднем мозге, затрагивающие перекрест Вернекинга, могут вызвать двустороннюю ГДО. Повреждение, вовлекающее церебелло-рубральные волокна с двух сторон, объясняет появление двусторонней церебеллярной атаксии в руках [4]. Нижние оливы, вероятно, являются генератором нёбного и/или глазного тремора. Оливодентатный тракт является эфферентным трактом, а патофизиологической основой ГДО является деафферентация нижнего ядра оливы. Поэтому изолированные поражения нижней ножки мозжечка (оливодентатный тракт) не вызывают нёбный миоклонус или ГДО.

Оливодентатный тракт играет роль в поддержании полушарий мозжечка в нормальном состоянии, и как результат повреждения этого пути было описано развитие церебеллярной атрофии [7].

Материал и методы

Обследовано трое больных с нёбным миоклонусом и атаксией, страдавших нейрохирургическими заболеваниями (кавернома мозжечка, тригеминальная невралгия вследствие вазоневрального конфликта; ЧМТ, ушиб головного мозга тяжелой степени). Всем пациентам проведено неврологическое обследование, СКТ и МРТ головного мозга, СКТ и МР-ангиография (СКТА, МРА) в динамике; одному – нейропсихологическое тестирование; одному – ЭЭГ; УЗИ органов брюшной полости, дуплексное сканирование сосудов мозга.

Результаты и их обсуждение

Случай 1

Больной М., 39 лет. Поступил в стационар в ноябре 2016 г. с жалобами на затруднения речи – нечеткость речи, трудно проговаривать слова, речь отрывистая, плохо модулированная; трудности при письме: буквы неровные, их трудно писать; поперхивание при глотании, больше – жидкой пищей и водой; двоение букв при чтении текста, особенно при взгляде вниз; шаткость при ходьбе, больше вправо (ходит с помощью палочки); подергивание мышц шеи; тремор в правой руке (затруднена работа правой рукой, не может держать предметы); снижение зрения.

Анамнез заболевания: в 2011 г. при игре в регби получил травму головы с утратой сознания. Находился на стационарном лечении в течение недели с диагнозом «закрытая черепно-мозговая травма (ЗЧМТ), сотрясение головного мозга». В марте 2012 г. заметил расстройства речи (ощущение нечеткости произношения звуков, «каша» во рту), появление шаткости походки вправо. При МРТ головного мозга выявлена картина внутримозговой гематомы в черве мозжечка, подозрение на субкортикальные кровоизлияния. С мая 2012 г. отмечал прогрессирование нарушений речи и координации движений; периодические непроизвольные мигательные движения, эпизоды непроизвольных разгибаний шеи кзади. В июне 2012 г. при осмотре неврологом выявлены дизартрия; умеренное сходящееся косоглазие за счет правого глазного яблока без диплопии и с сохранностью движений глазных яблок; мягкое нёбо напрягается симметрично, при выполнении ритмических движений наступает истощение (через 10–20 повторений); язык по средней линии; глотание не нарушено, другие черепные нервы (ЧН) в норме. Парезов в конечностях нет, тонус мышц и глубокие рефлексы не изменены, патологических рефлексов и чувствительных нарушений нет. Адиадохокинез; координаторные пробы выполняет с интенцией, больше слева, отмечается постуральная неустойчивость. Заподозрена кавернома головного мозга.

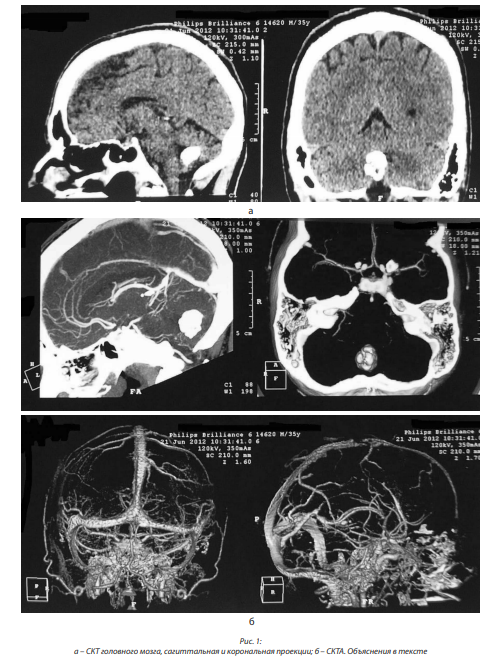
Выполнено СКТ головного мозга, СКТА, заключение: наиболее вероятно имеет место обызвествленное кровоизлияние в области каверномы червя мозжечка (рис. 1, а, б).

При ультразвуковой допплерографии брахиоцефальных артерий (УЗДГ БЦА) экстракраниально: УЗДГ проявления вертеброгенных изменений в левой позвоночной артерии (ПА).

В сентябре 2012 г. выполнена МРТ головного мозга, заключение: большая кавернома в нижней половине червя мозжечка (размерами 21×18×18 мм). По сравнению с МРТ от апреля 2012 г. без видимой динамики. Множественные (не менее 10, размерами от 3 до 10 мм) каверномы в полушариях большого мозга. Венозная ангиома моста.

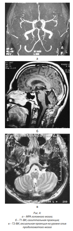
При МРА от октября 2012 г.: сужений, аневризм, патологической извитости магистральных артерий не выявлено; вариант отхождения левой задней мозговой артерии (ЗМА), сосудистая связь с каверномой отсутствует (рис. 2, а, б, в, г, д).

В декабре 2012 г. повторно произведена СКТ головного мозга, при которой выявлена кавернозная ангиома червя мозжечка (частично обызвествленная); телеангиоэктазия левой височной доли.

СКТА выявила вариант строения Виллизиева круга (круг разомкнут в области обеих задних соединительных артерий (ЗСА), левая ЗМА отходит от внутренней сонной артерии); наиболее вероятно имеет место обызвествленная кавернома червя мозжечка (рис. 3).

В нейрохирургическом стационаре в январе 2013 г. произведено микрохирургическое удаление кавернозной ангиомы глубоких отделов червя мозжечка с использованием УЗИ-навигации, радиотерапия задней черепной ямки (РТ ЗЧЯ). Неврологически до операции: речь замедленная, дизартричная, «скандированная»; слабость конвергенции правого глаза; лицо симметрично, глотание не нарушено; глубокие рефлексы симметричны, оживлены; координаторные пробы выполняет с мимопопаданием слева; в позе Ромберга отклоняется влево. В послеоперационном периоде наблюдалось некоторое нарастание шаткости походки, а через месяц усилились расстройства речи по типу невнятности, стало трудно проговаривать слова, речь стала «скандированой», появились затруднения во время письма, усилилась шаткость. Еще через два месяца заметил расстройства глотания, поперхивание при приеме пищи, особенно жидкой.

На МРТ головного мозга выявлялись послеоперационные изменения в ЗЧЯ.

В сентябре 2013 г. МРТ головного мозга выявила симметричную, бивентрикулярную водянку; рубцово-глиозные изменения в области миндаликов мозжечка справа; отсутствие патологического накопления контрастного вещества, отсутствие расширения оболочечных пространств полушарий мозга; без динамики по сравнению с МРТ от декабря 2012 г. Не описаны имевшиеся признаки ГДО. МРА дополнительной сосудистой сети не выявила (рис. 4, а, б, в).

В последующем эти явления постепенно прогрессировали; пациент отмечает ухудшение самочувствия в течение последних 3–5 месяцев (с лета 2016 г.).

При МРТ головного мозга в сентябре 2016 г. выявлена умеренно выраженная компенсированная бивентрикулярная водянка; в проекции медиальных отделов правой гемисферы и червя мозжечка – зона постоперационных изменений размером 27×15×16 мм, со следами гемосидерина, правый выворот IV желудочка подтянут к зоне изменений, при контрастном усилении участков патологического накопления контрастного вещества не выявлено; атрофические изменения субкортикальных отделов обеих гемисфер мозжечка. Заключение: состояние после РТ ЗЧЯ справа, удаление каверномы червя мозжечка. Данных за рецидив не выявлено. Атрофические изменения субкортикальных отделов обеих гемисфер мозжечка (рис. 5, а, б, в).

Объективно при поступлении в ноябре 2016 г.: вес 100 кг, рост 198 см. Пульс ритмичный, 76 ударов в минуту. Высшие мозговые функции не нарушены. Речь дизартрична с элементами скандированной речи. Зрачки равны, реакции на свет вяловаты.

Диплопии нет. Движения глазных яблок в полном объеме. Слабость конвергенции глазных яблок, больше справа.

Гемианопсии нет. Гиперестезия диссоциированного характера в оральных дерматомах лица слева. Чуть сглажена правая носогубная складка. Язык девиирует влево.

Снижена правая нёбная занавеска, язычок слегка отклоняется вправо. В мышцах мягкого нёба, глотки, гортани и дна полости рта – миоклонический гиперкинез постоянного характера в виде периодических подергиваний с частотой 1–2 раза в секунду.

Глоточные рефлексы живые, симптом Маринеску-Радовичи с двух сторон, ярче справа. Остальные черепные нервы (ЧН) в норме. Парезов в конечностях нет. Мышечный тонус не изменен. Глубокие рефлексы средней живости, на руках справа чуть выше, трицепс и ахилловы снижены с двух сторон. Верхний симптом Россолимо-Вендеровича справа. Подошвенный рефлекс справа по нормальному типу, слева инертен. Поверхностная чувствительность не нарушена. Снижено вибрационное чувство в ногах. Выраженная двухсторонняя атаксия и интенция при координаторных пробах, больше справа; адиадохокинез с двух сторон, асинергия Бабинского, больше справа. В позе Ромберга – статико-локомоторная и сенситивная атаксия. Походка атактическая, ходит с помощью ходунков, походка «канатоходца» невозможна. Оболочечных симптомов нет.

По результатам лабораторных исследований изменения неспецифичные. Глазное дно не изменено.

На ЭЭГ зарегистрированы патологические изменения биоэлектрической активности мозга средней степени выраженности в виде ирритации срединных структур мозга и диффузных нарушений ирритативно-органического типа без достоверных локальных проявлений. Пароксизмальная (эпилептиформная) активность отсутствует.

МРТ головного мозга с контрастным усилением (2016 г.), заключение: состояние после ранее перенесенного оперативного вмешательства по поводу кавернозной ангиомы червя мозжечка с частичным ее удалением.

МР-картина множественных отложений гемосидерина в веществе мозга, что может быть характерно для амилоидной ангиопатии либо множественных мелких кавернозных ангиом головного мозга.

Атрофические изменения мозжечка.

При СКТА сосудов головного мозга (ксенетикс 300): состояние после удаления объемного патологического образования ЗЧЯ. В области оперативного вмешательства определяются множественные очаги и участки кальциноза. Максимальный размер участка обызвествления 10–11 мм, общий размер области участков кальциноза 28×28×17 мм. Плотность составляет от +88 до +445HU, Область участков кальциноза расположена по задней поверхности IV желудочка. После проведения ангиографии участков патологического накопления контрастного вещества не выявлено. Визуализированы мозговые артерии, просветы сосудов равномерные, кровоток симметричный, ЗСА контрастированы с обеих сторон.

При УЗИ органов брюшной полости и почек выявлены очаговые образования правой доли печени (S 6–14 мм, S 7–13 мм – вероятно, гемангиомы).

Случай 2

Больной Н., 63 года. Поступил с жалобами на нарушение походки (выраженная шаткость, ходит с помощью ходунков, трудно сесть на корточки); периодический тремор в левой руке при работе; небольшие изменения речи (неразборчивость); ощущение онемения, боли и ползанья «мурашек» в области левой щеки, шеи и надплечья, кисти, части туловища и всей левой ноги; периодическое двоение предметов по горизонтали; некоторое снижение памяти.

Анамнез заболевания. Считает себя больным приблизительно с 2014–2015 гг., когда стали беспокоить приступы кратковременной боли в правой половине лица («как будто током бьет» в области верхней челюсти, крыла носа с иррадиацией вверх до глаза). Лечился у неврологов по поводу невралгии правого тройничного нерва.

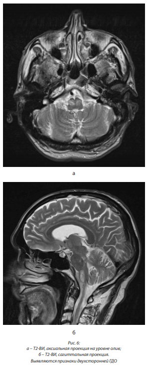
Удалил три зуба на верхней челюсти, принимал карбамазепин по три таблетки в день, однако эффекта не отмечал. Летом 2016 г. консультирован в 1-м нейрохирургическом отделении ГМПБ № 2. При МРТ головного мозга и ствола выявлен вазоневральный конфликт с правым тройничным нервом. В августе 2016 г. выполнена двухэтапная операция декомпрессии правого тройничного нерва с выраженным положительным эффектом (боль исчезла и не беспокоит). Начиная с марта-апреля 2017 г. заметил неустойчивость при ходьбе, которая постепенно прогрессирует, особенно с конца мая; отметил постепенное увеличение площади онемения участков левой половины тела, при этом нога онемела полностью (в течение месяца). При ходьбе стал пользоваться палочкой. Повторно поступил в нейрохирургическое отделение для обследования. При МРТ головного мозга от 21.06.2017 выявлены очаговые изменения в области олив продолговатого мозга, характерные для ГДО (рис. 6, а, б).

Анамнез жизни. Пережил военные годы.

В молодости служил на флоте. Работал преподавателем черчения, затем художником.

Из перенесенных заболеваний – язвенная болезнь двенадцатиперстной кишки (в юности); гепатит А в 1969 г.; травмы конечностей, позвоночника, ребер в 1972, 2015 гг. В 2015 г. наблюдался урологом по поводу аденомы предстательной железы.

В том же году перенес операцию по замене хрусталика правого глаза. Курил много лет, с 2002 г. не курит, алкоголь не употребляет.

При объективном обследовании: астенической конституции, бледность кожных покровов, легкий цианоз губ. Сознание ясное, контактен, ориентирован. Речь слегка дизартрична, рассказ детализирован, часто «перепрыгивает» с одной информации на другую, многоречив. Легкие мнестические расстройства, анамнез (по времени) рассказывает по-разному.

Впечатление о легкой сенсорной афазии.

Зрачки узковаты, округлые; реакции зрачков на свет снижены. Движения глазных яблок в полном объеме, диплопии нет.

Выявляется среднеразмашистый горизонтальный нистагм в обе стороны, больше вправо; вертикальный нистагм при взгляде вверх. Легкая слабость конвергенции глазных яблок, больше справа. Сужено поле зрения правого глаза в нижне-наружном квадранте. Гемианопсии нет. Чувствительность на лице и волосистой части головы сохранена. Функция жевательных и мимических мышц в норме. Выявляется миоклонус язычка, мягкого нёба и мышц задней стенки глотки. Язычок по средней линии.

Глоточные и нёбные рефлексы резко снижены.

Вызывается легкий хоботковый рефлекс, легкий рефлекс Маринеску-Радовичи слева. Слух сохранен. Функция грудиноключично-сосцевидной и трапециевидной мышц сохранена. Другие ЧН в норме.

Парезов в конечностях нет. Мышечный тонус слегка повышен в пронаторах левого предплечья. Глубокие рефлексы на руках живые, коленные средней живости, S > D, ахилловы рефлексы низкие, D = S. Патологических кистевых знаков нет, неотчетливый и непостоянный рефлекс Бабинского с двух сторон. Поверхностная чувствительность не нарушена. Суставно-мышечное чувство сохранено. Снижено вибрационное чувство в ногах до 0 с. (на руках 8 с.). Координаторные пробы выполняет без интенции; легкая атаксия в левой ноге при пяточно-коленной пробе. Выраженная асинергия Бабинского (не может сесть без помощи рук); дисдиадохокинез в левой кисти.

В позе Ромберга выраженная статиколокомоторная атаксия (стоит с опорой на стену); ходит с помощью трости или ходунков.

Оболочечных симптомов нет.

Таким образом, клиническая картина представлена миоклонусом мягкого нёба, бульбо-псевдобульбарным синдромом, легкой пирамидной недостаточностью в ногах, снижением вибрационного чувства в нижних конечностях; смешанной атаксией, преимущественно статико-локомоторной, а также динамической в левых конечностях, сенситивной и лобной атаксией. При МРТ головного мозга наряду с признаками дисциркуляторной энцефалопатии выявляются изменения в продолговатом мозге по типу гипертрофии олив.

Установлен окончательный клинический диагноз: «гипертрофическая дегенерация олив неясной этиологии (дисметаболической? дисциркуляторной?). Состояние после операции микроваскулярной декомпрессии правого тройничного нерва от августа 2016 г. ЦВБ. Атеросклероз церебральных и коронарных артерий. Хроническая ишемия мозга II ст. ИБС. Атеросклеротический кардиосклероз. Язвенная болезнь 12-перстной кишки вне обострения.

Алиментарная дистрофия? Аденома предстательной железы».

Случай 3

Больная Ч., 42 года, предъявляет жалобы на шаткость при ходьбе, больше вправо, особенно при поворотах, падения вправо; нарушения кратковременной памяти; выпадение памяти на 8 лет до ЧМТ, произошедшей в 2009 г.; плаксивость; «хрюканье» и подергивание мышц на передней поверхности шеи, частичное опущение правого верхнего века; двоение по диагонали. Отмечает увеличение числа падений на фоне приема карбамазепина (200 мг/сут).

Анамнез заболевания. В 2009 г. в ДТП получила сочетанную травму, ушиб головного мозга тяжелой степени тяжести с формированием травматического субарахноидального кровоизлияния, напряженной гигромы правой лобной и теменно-височной области, удаление гигромы от 17.03.2009; переломы V, VI, VII ребер справа. Со слов матери больной, после травмы в течение 15 суток находилась в коматозном состоянии, приблизительно через три месяца стала узнавать родных.

Не помнит, кем и где работала до ДТП, каково семейное положение (замужем, детей нет). Шаткость усилилась в течение последних трех лет (с 2014 г.). На ЭЭГ были выявлены вспышки эпилептической активности, получила курс карбамазепина.

В течение последнего года отмечает периодические нарушения глотания жидкой пищи. С ноября 2016 г. (7 месяцев назад) появились мышечные подергивания в области передней поверхности шеи после проведенной по поводу нарушений речи электростимуляции. В последующем диагностирована посттравматическая энцефалопатия в виде когнитивных, глазодвигательных нарушений, псевдобульбарного синдрома, статико-динамической атаксии. На МРТ головного мозга в течение 6 лет с момента травмы отмечается постепенное прогрессирование посттравматических атрофических изменений без выраженных очаговых изменений.

В течение 4 лет с момента травмы беспокоили интенсивные головные боли.

Родственниками отмечено нарастание с момента травмы шаткости и неустойчивости при ходьбе, появление падений, особенно в течение последнего года. За последние годы пациентка также отмечает снижение памяти, а в течение последнего месяца – появление явных проблем с глотанием жидкости. Патология вестибулярного аппарата была исключена.

МРТ головного мозга от сентября 2016 г., заключение: МР-данных за объемные патологические образования не получено;

МР-картина умеренно выраженной внутренней гидроцефалии, участков изменения сигнала в области валика мозолистого тела и ядер олив продолговатого мозга, вероятнее всего, за счет глиоза (в области валика мозолистого тела и ядер олив продолговатого мозга отмечается повышение МР-сигнала на Т2 и тяжело-взвешенных Т2-изображениях (tim)).

В анамнезе с детского возраста – головные боли с рвотой; в 1996 г. – травма шейного отдела позвоночника (носила воротничок); в 2015 г. выявлена цитомегаловирусная инфекция, проведен курс противовирусной терапии ацикловиром и трихополом.

Объективно: сознание ясное, контактна, ориентирована; эмоционально лабильна (от эйфории до плача). Отдельные высшие мозговые функции не нарушены. На передней поверхности шеи – миоклонические подергивания мышц дна полости рта и мышц глотки. Правосторонний полуптоз; правое глазное яблоко слегка отклонено наружи и книзу. Расширен правый зрачок, резко снижены его прямая и содружественная реакции на свет. Резко ограничены движения правого глазного яблока вверх и вниз, слегка – кнутри. Диплопия при взгляде во все стороны. Гемианопсии нет. Гипестезия в каудальных дерматомах лица слева с гиперестезией в оральных дерматомах с двух сторон. Сглажена правая носогубная складка. Снижен слух на правое ухо. Миоклонус язычка и мягкого нёба с двух сторон. Язык девиирует вправо.

Симптомов орального автоматизма нет.

Другие черепные нервы в норме. Легкий парез в правой руке; симптом Барре справа.

Повышен тонус в мышцах правой руки по групповому типу. Глубокие рефлексы на руках живые, справа выше; верхний симптом Россолимо-Вендеровича с двух сторон, ярче справа. На ногах коленные рефлексы симметрично живые, ахилловы средней живости; патологических стопных знаков нет. Правосторонняя гемигипестезия; снижено вибрационное чувство в ногах до 3–4 с. (в руках 8 с.). Легкая неуверенность при выполнении координаторных проб с закрытыми глазами с двух сторон.

Неустойчива в позе Ромберга (падает влево).

Походка спастико-атактическая.

Таким образом, клиническая картина была представлена нарушениями памяти (как фиксационной, так и отдаленной) в результате ретро-, кон- и антеградной амнезии после тяжелой ЧМТ в 2009 г.; признаками поражения ядра III нерва справа, миоклонусом мягкого нёба, альтернирующей гемигипестезией, поражением VII, VIII, XII нервов справа по центральному типу; верхним парапарезом (силовым в правой руке, рефлекторным в левой); смешанной мозжечковой и сенситивной атаксией; снижением глубокой чувствительности в ногах.

Проведено нейропсихологическое тестирование, заключение: мнестическая деятельность характеризуется неустойчивой динамикой, замедленностью запоминания, легким снижением кратковременной и умеренным снижением долговременной памяти; легкое снижение словесно-логической (смысловой), ассоциативной, зрительной памяти (фигуры, образы), процесса непроизвольного запоминания, способности к запоминанию зрительно-пространственных образов, последовательности стимулов. Выявлено снижение кинестетической основы движений (преимущественно слева), трудности переключения на новую позицию, снижение плавности перехода от одного движения к другому с левой стороны, трудности в реципрокной координации с отставанием в левой руке, снижение зрительно-пространственной организации движений левой рукой и слухомоторной координации. Таким образом, характер выполнения заданий может свидетельствовать о неполном функционировании лобной, височной и теменной доли правого полушария.

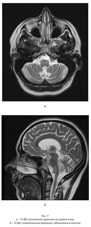
В июне 2017 г. выполнена МРТ головного мозга, заключение: МР-картина гипертрофической оливарной дегенерации (в продолговатом мозге с обеих сторон выявляются симметричные участки измененного МР-сигнала, гиперинтенсивные на Т2 ВИ и FLAIR размерами 15×7 мм справа и 14×7 мм слева, с четкими контурами, без перифокального отека; продолговатый мозг на этом уровне слегка вздут; боковые и III желудочки расширены, симметричны; субарахноидальные пространства конвекса и базальные цистерны не расширены) (рис. 7, а, б).

Окончательный клинический диагноз: остаточные явления ЗЧМТ, тяжелого ушиба головного мозга от 2009 г. Состояние после вскрытия напряженной гигромы от 17.03.2009. Смешанная (посттравматическая, дисциркуляторная) энцефлопатия с мнестическими нарушениями. Гипертрофическая дегенерация олив с миоклонусом мягкого нёба и двусторонней смешанной атаксией (преимущественно статико-локомоторной). Мигрень (?) вне обострения.

Заключение

Таким образом, у всех трех представленных пациентов с различной нейрохирургической патологией задней черепной ямки развились миоклонус мягкого нёба и мозжечковая атаксия в результате повреждения структур треугольника Гийен-Молларэ, что сопровождалось развитием у них гипертрофической дегенерации олив и у двоих – последующими признаками атрофических процессов в мозжечке. У первого больного были диагностированы множественные каверномы головного мозга с наиболее крупной каверномой мозжечка справа, которая была удалена хирургическим путем; второй пациент был оперирован по поводу вазоневрального конфликта, и ему проводилась микроваскулярная декомпрессия правого тройничного нерва на уровне моста мозга; третья пациентка перенесла ЗЧМТ, ушиб головного мозга тяжелой степени с поражением среднего мозга и моста. Прогрессирующие атаксия и нарушения глотания и речи отмечались двумя пациентами сразу после операции соответственно удаления каверномы мозжечка и микроваскулярной декомпрессии тройничного нерва, и у одной пациентки – через 7 лет после ЗЧМТ, тяжелого ушиба головного мозга, удаления гигромы правой лобно-теменно-височной области. У пациента с каверномой мозжечка были выявлены также множественные каверномы больших полушарий мозга, венозная ангиома моста мозга и гемангиомы печени. Через 5 лет после операции удаления каверномы мозжечка у первого пациента были заметны явные признаки атрофии в структурах мозжечка, что свидетельствовало также о вовлечении в патологический процесс нижней ножки мозжечка, являющейся эфферентным путем, связывающим нижнее ядро оливы с противоположным зубчатым ядром мозжечка через его кору. ГДО имела место у него на ранних стадиях развития болезни, но осталась незамеченной, а в последующем произошел ее регресс с сохранением неврологических симптомов, и на первый план выступили результаты нарушения метаболизма и трофики мозжечка. Второй пациент перенес оперативное вмешательство по микроваскулярной декомпрессии V черепного нерва на основании мозга вблизи моста, что вместе с измененными мозговыми сосудами могло способствовать повреждению афферентных путей к нижнему ядру оливы и развитию двусторонней ГДО, что наиболее характерно для поражения перекреста Вернекинга в среднем мозге.

У третьей пациентки нёбный миоклонус и атаксия развились поздно, через 8 лет после тяжелого ушиба среднего мозга, и также сопровождались наличием двусторонней ГДО.

СВЕДЕНИЯ ОБ АВТОРАХ

Шулешова Наталья Викторовна – ФГБОУ ВО «Первый Санкт-Петербургский государственный медицинский университет им. И.П. Павлова» Минздрава России, г. Санкт-Петербург, e-mail: shuleshova@inbox.ru.

Кирьянов Ю.М. – СПб ГБУЗ «Городская больница № 26», г. Санкт-Петербург.

Кучумова Л.Р. – ФГБОУ ВО «Первый Санкт-Петербургский государственный медицинский университет им. И.П. Павлова» Минздрава России, г. Санкт-Петербург.

Трашин А.В. – СПб ГБУЗ «Городская многопрофильная больница № 2», г. Санкт-Петербург.

Shuleshova N.V. – First Pavlov State Medical University of St. Petersburg.

Kiryanov Y.M. – Saint-Petersburg City Hospital № 26.

Kuchumova L.R. – First Pavlov State Medical University of St. Petersburg.

Trashin A.V. – aint-Petersburg City General Hospital № 2, Saint-Petersburg.

Выводы

Приведенные нами клинические примеры подтверждают возможность развития гипертрофической дегенерации олив вследствие их деафферентации у различных пациентов нейрохирургического профиля, у которых происходит повреждение задней черепной ямки с вовлечением структур стволово-мозжечкового треугольника Гийен-Молларэ. Однако ГДО развивается не у всех пациентов с поражением ствола мозга и мозжечка, что подтверждает теорию о вероятной наследственной предрасположенности к недостаточному функционированию и метаболических нарушений в структурах экстрапирамидной системы. Обнаружение миоклонуса мягкого нёба и атаксии требует внимательного рассмотрения зоны олив продолговатого мозга, так же как и случайное выявление при МРТ головного мозга признаков ГДО заставляет увидеть клинические проявления этого феномена в виде нёбного миоклонуса и проводить этиологическое и симптоматическое лечение (в частности, может использоваться клоназепам, карбамазепин или местные инъекции ботулинического токсина).

Язык статьи:
Действия с выбранными: